健康资讯
看牙为什么要拍片?如何看懂自己的牙片!
2024-08-24

很多人都这样觉得:看大病拍片我还能理解,看个牙齿也要拍啊?

没必要吧,而且有辐射,对身体也不好


Part 01

为啥去看牙医,总是要求我拍片?

去医院看牙总有一些人不愿意拍牙片,认为张开嘴就能看到牙齿情况,没必要拍牙片。

但我们要知道,牙齿的硬度比骨骼还高,结构也很复杂,如果牙齿里面出了问题,即便是经验再丰富的牙医,也无法单凭肉眼诊治,毕竟医生可没长X光透视眼~

△牙齿结构剖面图


在不清楚牙齿真实状态时,只有通过拍摄「牙片」才可以了解到患牙的牙根形态、走向、长度,种植牙需要的骨量,以及根尖有无病变、病变大小等情况。

所以,不要再问医生为什么总是让你拍片!


Part 02

牙片不同,作用不同!

我们常说的「拍牙片」只是一个统称,具体指一切口腔X线片检查,并不是单指一张片子。需要根据不同情况来选择拍摄哪种牙片。

一般来说,我们所说的牙片由以下几种组成:

△其优点在于1:1还原牙齿的大小,成像速度快,对于单颗牙齿情况的检查相对细致。

△优点在于可以了解牙根下是否有囊肿,周围骨头是否吸收,牙槽骨内是否有埋伏牙、多生牙等。

△这种牙片在正畸领域应用更广泛,它为牙齿矫正提供重要的数据参考,可以帮助牙医清晰看到牙齿和骨头的相对关系,制定有效的矫正计划。

△优点在于空间分辨率高、成像更清晰,医生可360°旋转查看口腔状况,适用于埋伏智齿的拔除、种植牙、正颌手术等。

当然也不是什么治疗都需要拍这么多片子,需求不同,自然拍片方案也不一样。


Part 03

非专业人士,如何看懂牙片?

牙片可以看出很多口腔问题,小德教大家看看几个比较常见的牙齿问题。

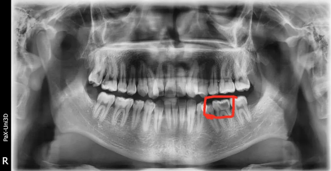
🔎智齿

△全口牙齿一般有28-32颗,在牙片上从中间牙齿往后数第八颗就是智齿。


🔎蛀牙

△牙齿龋坏比较多,在牙片上会显示黑色阴影的缺损。


🔎根管治疗

△白色充填物充满整个牙根。


🔎种植牙

△种植牙等修复体在全景片上通常呈现白色。


🔎牙周情况

△正常情况下,牙槽骨高度位于牙根与牙冠的交界处下方一点(白色线标注位置)。


🔎埋伏牙

🔎儿童恒牙萌出

🔎牙齿不齐

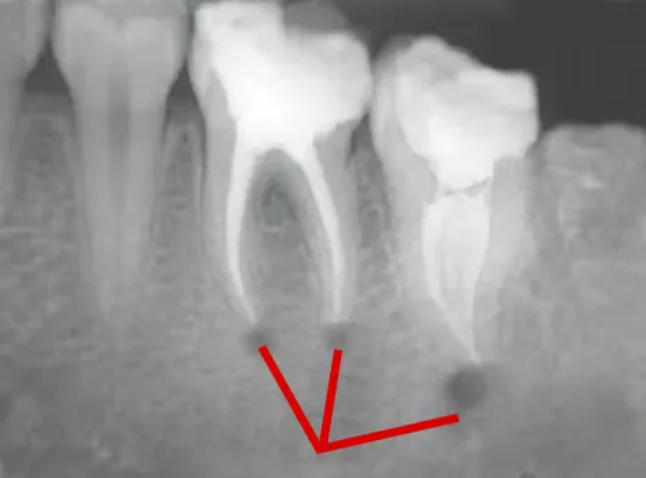
🔎根尖炎症

△根尖那里有黑色的阴影,一般说明牙根尖有炎症病变,这种多为根尖炎。


Part 04

谈“辐”色变?拒绝抛开剂量谈辐射!

为了更直观表达辐射量,我们用单位面积内的香蕉数量表达辐射强度。(👀没错,香蕉是有辐射的,吃一根香蕉会受到大约0.1微西弗的辐射。)

拍一张根尖片(小牙片)的辐射剂量等于一次吃下10根香蕉。

拍一张小牙片=吃10根香蕉

以此类推……

总之,拍牙片的辐射量其实是较小,大家不用担心。

本文相关医院

收藏

相关医院

成都高德口腔
高德口腔立足医疗本质,秉持以顾客为朋友的服务理念,聚焦无菌医疗安全控制,构建人文关爱服务体系,“因爱...
预约咨询 预约挂号 去主页

猜你还想读

牙齿正畸7K能做吗?1W够吗?(成都正畸收费表流出)
大部分想做牙齿正畸的人,都是普通人,第一反应都是:矫完牙齿我会变得多漂亮(帅气),紧接着就开始担心:...
成都高德口腔 2024-08-24
牙齿矫正的三个黄金期,小德提醒你:千万别错过!
一般人会告诉你牙齿矫正的年龄是12-13岁,其实不同的牙齿畸形类型,矫治时机也不同。01牙齿矫正时间...
成都高德口腔 2024-08-24
看牙为什么要拍片?如何看懂自己的牙片!
很多人都这样觉得:看大病拍片我还能理解,看个牙齿也要拍啊?没必要吧,而且有辐射,对身体也不好Part...
成都高德口腔 2024-08-24